BackgroundKey enzyme in folate metabolism. Contributes to the de novo mitochondrial thymidylate biosynthesis pathway. Catalyzes an essential reaction for de novo glycine and purine synthesis, and for DNA precursor synthesis. Binds its own mRNA and that of DHFR2.
DescriptionDHFR Recombinant Monoclonal Antibody [9B2]. Unconjugated. Raised in: HEK293F Cell.
FormulationBuffer: Rabbit IgG in phosphate buffered saline, pH 7.4, 150mM NaCl, 0.02% sodium azide and 50% glycerol.
SpecificityHuman, Mouse, Rat
IsotypeRabbit IgG
Uniprot IDP00374
PurificationAffinity-chromatography
ImmunogenA synthesized peptide derived from human DHFR
StorageUpon receipt, store at -20°C or -80°C. Avoid repeated freeze.
Alternative NamesDihydrofolate reductase (EC 1.5.1.3), DHFR
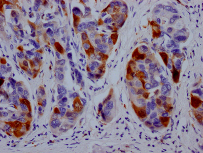
ApplicationELISA, WB, IHC, IP; Recommended dilution: WB:1:500-1:5000, IHC:1:50-1:200, IP:1:200-1:1000