BackgroundCasein kinase II is a serine/threonine protein kinase that phosphorylates acidic proteins such as casein. It is involved in various cellular processes, including cell cycle control, apoptosis, and circadian rhythm. The kinase exists as a tetramer and is composed of an alpha, an alpha-prime, and two beta subunits. The alpha subunits contain the catalytic activity while the beta subunits undergo autophosphorylation. The protein encoded by this gene represents the alpha subunit. While this gene is found on chromosome 20, a related transcribed pseudogene is found on chromosome 11. Three transcript variants encoding two different proteins have been found for this gene.
DescriptionCSNK2A1 Polyclonal Antibody. Unconjugated. Raised in: Rabbit.
FormulationBuffer: PBS with 0.02% sodium azide, 50% glycerol, pH7.3.
SpecificityHuman, Mouse, Rat
IsotypeIgG
Uniprot IDP68400
PurificationAffinity Purification
ImmunogenRecombinant fusion protein containing a sequence corresponding to amino acids 1-391 of human CSNK2A1 (NP_001886.1).
StorageShipped at 4°C. Upon receipt, store at -20°C. Avoid freeze / thaw cycles
Alternative NamesCSNK2A1; CK2A1; CKII; CSNK2A3; OCNDS; Cka1; Cka2; casein kinase 2 alpha 1
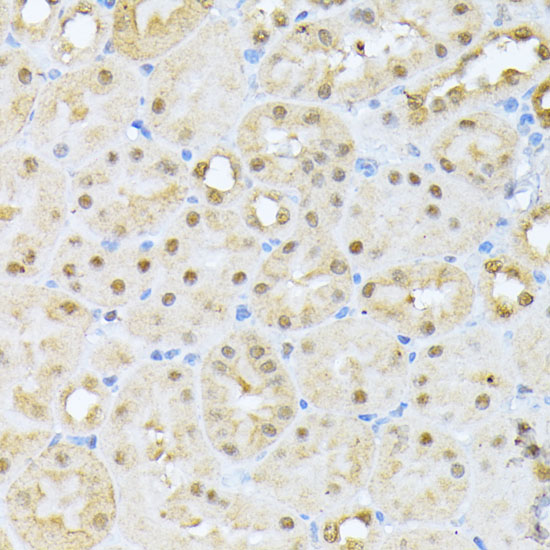
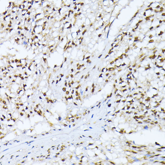
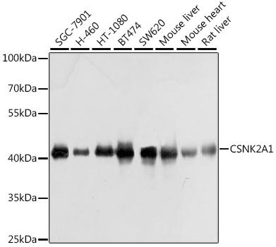
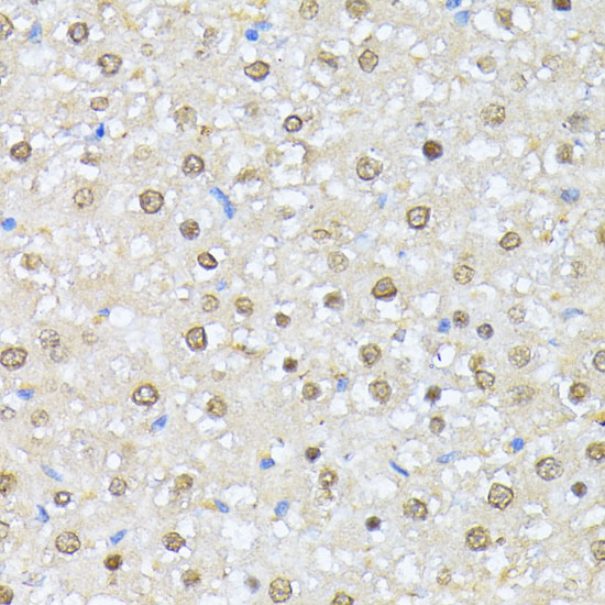
ApplicationWB, IHC, IF; Recommended dilution: WB 1:1000 - 1:4000, IHC 1:50 - 1:200, IF 1:50 - 1:100