BackgroundMay play an important role in the regulation of lymphoma cell growth. Interacts with a 16-kDa Leu-13 protein to form a complex possibly involved in signal transduction. May act as the viral receptor for HCV.
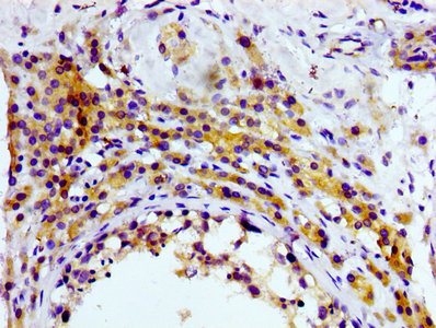
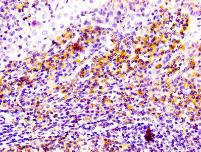
DescriptionCD81 Monoclonal Antibody, clone RMC960A. Unconjugated. Raised in: Rabbit.
ConcentrationInquire
FormulationLiquid. Rabbit IgG in phosphate buffered saline, pH 7.4, 150mM NaCl, 0.02% sodium azide and 50% glycerol.
SpecificityHuman, Mouse, Rat
Isotype IgG
Uniprot IDP60033
PurificationAffinity Purified
ImmunogenA synthesized peptide
StorageShipped at 4°C. Upon receipt, store at -20°C (short-term) or -80°C (long-term). Avoid repeated freeze.
Alternative NamesCD81 antigen, 26 kDa cell surface protein TAPA-1, Target of the antiproliferative antibody 1, Tetraspanin-28, Tspan-28, CD81
ApplicationELISA, WB, IHC, FC; Recommended dilution: WB: 1:500-1:5000, IHC: 1:50-1:500
VCU0006