BackgroundThis gene encodes a member of the YTH (YT521-B homology) domain protein family. The YTH domain is common in eukaryotes, is often found in the middle of the protein sequence, and may function in binding to RNA. Alternative splicing results in multiple transcript variants.
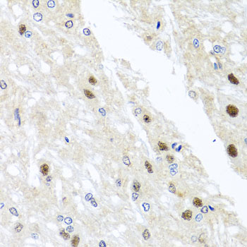
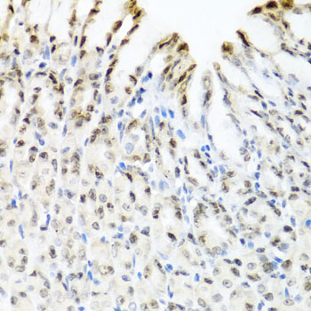
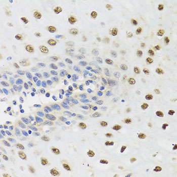
DescriptionYTHDF3 Polyclonal Antibody. Unconjugated. Raised in: Rabbit.
FormulationBuffer: PBS with 0.09% sodium azide, 50% glycerol, pH7.3.
SpecificityHuman, Mouse, Rat
IsotypeIgG
Uniprot IDQ7Z739
PurificationAffinity Purified
ImmunogenRecombinant fusion protein containing a sequence corresponding to amino acids 1-275 of human YTHDF3 (NP_689971.4).
StorageShipped at 4°C. Upon receipt, store at -20°C. Avoid freeze / thaw cycles
Alternative NamesYTHDF3; YTH domain-containing family protein 3
ApplicationWB, IHC, IP