BackgroundSpecifically recognizes and binds N6-methyladenosine (m6A)-containing RNAs, and regulates mRNA stability (PubMed:24284625, PubMed:26046440). M6A is a modification present at internal sites of mRNAs and some non-coding RNAs and plays a role in the efficiency of mRNA splicing, processing and stability (PubMed:22575960, PubMed:24284625, PubMed:25412658, PubMed:25412661). Acts as a regulator of mRNA stability: binding to m6A-containing mRNAs results in the localization to mRNA decay sites, such as processing bodies (P-bodies), leading to mRNA degradation (PubMed:24284625, PubMed:26046440).
DescriptionYTHDF2 Polyclonal Antibody. Unconjugated. Raised in: Rabbit.
FormulationLiquid. 0.03% Proclin 300, 50% Glycerol, 0.01M PBS, PH 7.4.
SpecificityHuman
IsotypeIgG
Uniprot IDQ9Y5A9
Purification>95%, Protein G purified
ImmunogenRecombinant Human YTH domain-containing family protein 2 protein (201-500AA)
StorageShipped at 4°C. Upon delivery aliquot and store at -20°C (short-term) or -80°C (long-term). Avoid repeated freeze.
Alternative NamesYTH domain-containing family protein 2, CLL-associated antigen KW-141, YTHDF2
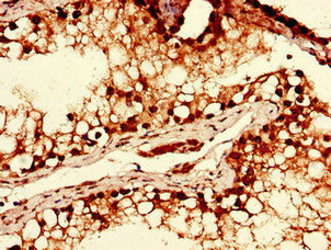
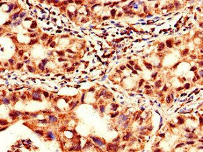
ApplicationELISA, WB, IHC, IF; Recommended dilution: WB:1:2000-1:5000, IHC:1:20-1:200, IF:1:50-1:200