BackgroundLigand for members of the frizzled family of seven transmembrane receptors. Probable developmental protein. May be a signaling molecule which affects the development of discrete regions of tissues. Is likely to signal over only few cell diameters. Overexpression may be associated with abnormal proliferation in human breast tissue.
DescriptionWNT4 Polyclonal Antibody. Unconjugated. Raised in: Rabbit.
Formulation0.03% Proclin 300. 50% Glycerol, 0.01M PBS, pH 7.4.
SpecificityHuman
IsotypeIgG
Uniprot IDP56705
PurificationProtein G purified
ImmunogenRecombinant Human Protein Wnt-4 protein (23-351AA)
StorageShipped at 4°C. Upon delivery aliquot and store at -20°C (short-term) or -80°C (long-term). Avoid repeated freeze.
Alternative NamesProtein Wnt-4, WNT4, UNQ426/PRO864
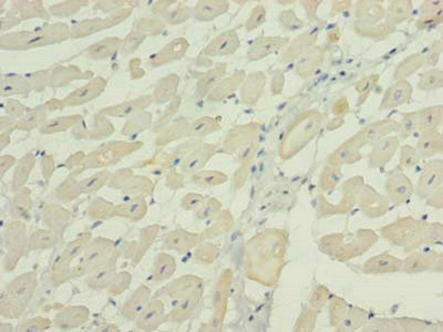
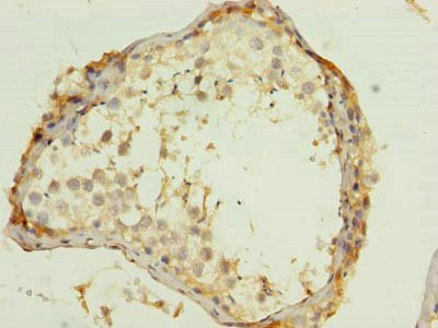
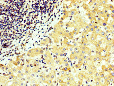
ApplicationELISA, WB, IHC; Recommended dilution: WB:1:500-1:2000, IHC:1:20-1:200