BackgroundComponent of the ESCRT-II complex (endosomal sorting complex required for transport II), which is required for multivesicular body (MVB) formation and sorting of endosomal cargo proteins into MVBs. The MVB pathway mediates delivery of transmembrane proteins into the lumen of the lysosome for degradation. The ESCRT-II complex is probably involved in the recruitment of the ESCRT-III complex. The ESCRT-II complex may also play a role in transcription regulation, possibly via its interaction with ELL. The ESCRT-II complex may be involved in facilitating the budding of certain RNA viruses.
DescriptionVPS25 Polyclonal Antibody. Unconjugated. Raised in: Rabbit.
FormulationLiquid. 0.03% Proclin 300, 50% Glycerol, 0.01M PBS, PH 7.4.
SpecificityHuman, Mouse
IsotypeIgG
Uniprot IDQ9BRG1
Purification>95%, Protein G purified
ImmunogenRecombinant Human Vacuolar protein-sorting-associated protein 25 protein (1-176AA)
StorageShipped at 4°C. Upon delivery aliquot and store at -20°C (short-term) or -80°C (long-term). Avoid repeated freeze.
Alternative NamesVacuolar protein-sorting-associated protein 25, hVps25, Dermal papilla-derived protein 9, ELL-associated protein of 20 kDa, ESCRT-II complex subunit VPS25, VPS25, DERP9, EAP20
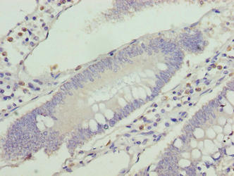
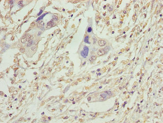
ApplicationELISA, WB, IHC, IF; Recommended dilution: WB:1:1000-1:5000, IHC:1:20-1:200, IF:1:50-1:200