BackgroundCleaves linear and branched multiubiquitin polymers with a marked preference for branched polymers. Involved in unanchored 'Lys-48'-linked polyubiquitin disassembly. Binds linear and 'Lys-63'-linked polyubiquitin with a lower affinity. Knock-down of USP5 causes the accumulation of p53/TP53 and an increase in p53/TP53 transcriptional activity because the unanchored polyubiquitin that accumulates is able to compete with ubiquitinated p53/TP53 but not with MDM2 for proteasomal recognition.
DescriptionUSP5 Polyclonal Antibody. Unconjugated. Raised in: Rabbit.
FormulationLiquid. 0.03% Proclin 300, 50% Glycerol, 0.01M PBS, PH 7.4.
SpecificityHuman, Mouse
IsotypeIgG
Uniprot IDP45974
Purification>95%, Protein G purified
ImmunogenRecombinant Human Ubiquitin carboxyl-terminal hydrolase 5 protein (201-500AA)
StorageShipped at 4°C. Upon delivery aliquot and store at -20°C (short-term) or -80°C (long-term). Avoid repeated freeze.
Alternative NamesUbiquitin carboxyl-terminal hydrolase 5, Deubiquitinating enzyme 5, Isopeptidase T, Ubiquitin thioesterase 5, Ubiquitin-specific-processing protease 5, USP5, ISOT
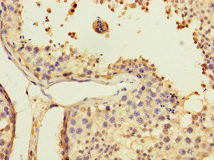
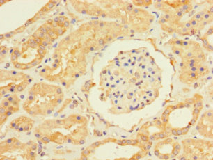
ApplicationELISA, WB, IHC; Recommended dilution: WB:1:1000-1:5000, IHC:1:20-1:200