BackgroundUBE2L3 (ubiquitin-conjugating enzyme E2L 3) is a protein coding gene. Proteins modified with ubiquitin are able to target abnormal or short-lived proteins for degradation. Ubiquitination uses three classes of enzymes: ubiquitin-activating enzymes (E1s), ubiquitin-conjugating enzymes (E2s), and ubiquitin-protein ligases (E3s). This gene encodes a member of the E2 ubiquitin-conjugating enzyme family. UBE2L3 participates in the ubiquitination of p53, c-Fos, and the NF-kB precursor p105 in vitro. Multiple alternatively spliced transcript variants exist for this gene.
DescriptionUBE2L3 Polyclonal Antibody. Unconjugated. Raised in: Rabbit.
Formulation Liquid. PBS with 0.02% sodium azide, 50% glycerol, pH7.3.
SpecificityHuman, Mouse, Rat
IsotypeIgG
Uniprot IDP68036
PurificationAffinity Purified
ImmunogenRecombinant Protein of Human UBE2L3
StorageShipped at 4°C. Store at -20°C. Avoid multiple freeze/thaw cycles.
Alternative NamesE2-F1, L-UBC, UBCH7, UbcM4
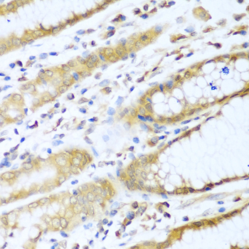
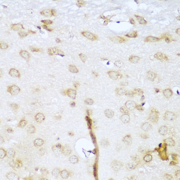
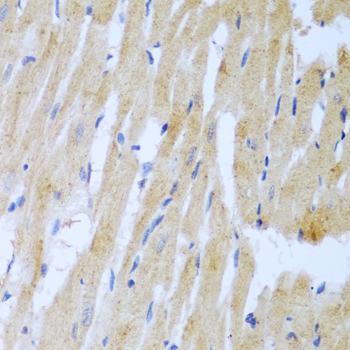
ApplicationWB, IHC, IF; Recommended dilution: WB 1:1000 - 1:2000; IHC 1:50 - 1:100; IF 1:50 - 1:200