BackgroundProtects T-cells from IL2 deprivation-induced apoptosis through the inhibition of FOXO3A transcriptional activity that leads to the down-regulation of the pro-apoptotic factor BCL2L11. In macrophages, plays a role in the anti-inflammatory and immunosuppressive effects of glucocorticoids and IL10. In T-cells, inhibits anti-CD3-induced NFKB1 nuclear translocation. In vitro, suppresses AP1 and NFKB1 DNA-binding activities. Isoform 1 inhibits myogenic differentiation and mediates anti-myogenic effects of glucocorticoids by binding and regulating MYOD1 and HDAC1 transcriptional activity resulting in reduced expression of MYOG.
DescriptionTSC22D3 Polyclonal Antibody. Unconjugated. Raised in: Rabbit.
FormulationLiquid. 0.03% Proclin 300, 50% Glycerol, 0.01M PBS, PH 7.4.
SpecificityHuman
IsotypeIgG
Uniprot IDQ99576
Purification>95%, Protein G purified
ImmunogenRecombinant Human TSC22 domain family protein 3 protein (58-134AA)
StorageShipped at 4°C. Upon delivery aliquot and store at -20°C (short-term) or -80°C (long-term). Avoid repeated freeze.
Alternative NamesTSC22 domain family protein 3, DSIP-immunoreactive peptide, Protein DIP, hDIP, Delta sleep-inducing peptide immunoreactor, Glucocorticoid-induced leucine zipper protein, GILZ, TSC-22-like protein, TSC-22-related protein, TSC-22R, TSC22D3, DSIPI, GILZ
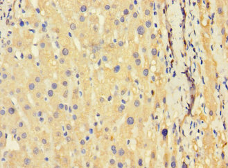
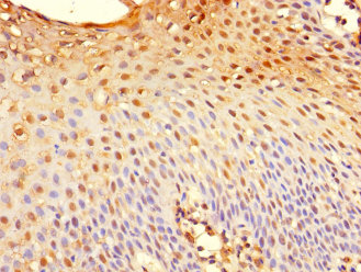
ApplicationELISA, WB, IHC; Recommended dilution: WB:1:1000-1:5000, IHC:1:20-1:200