BackgroundRNA-binding protein that binds to several small cytoplasmic RNA molecules known as Y RNAs. May stabilize these RNAs from degradation. May play roles in cilia formation and/or maintenance
DescriptionTROVE2 Polyclonal Antibody. Unconjugated. Raised in: Rabbit.
FormulationLiquid. 0.03% Proclin 300, 50% Glycerol, 0.01M PBS, PH 7.4.
SpecificityHuman, Mouse, Rat
IsotypeIgG
Uniprot IDP10155
Purification>95%, Protein G purified
ImmunogenRecombinant Human 60 kDa SS-A/Ro ribonucleoprotein protein (3-535AA)
StorageShipped at 4°C. Upon delivery aliquot and store at -20°C (short-term) or -80°C (long-term). Avoid repeated freeze.
Alternative NamesRo 60 kDa autoantigen, Sjoegren syndrome antigen A2, Sjoegren syndrome type A antigen, SS-A, TROVE domain family member 2, TROVE2 , RO60, SSA2
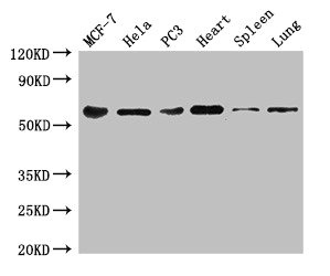
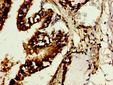
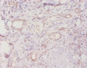
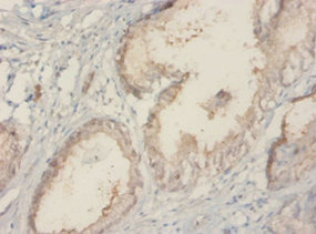
ApplicationELISA, WB, IHC, IF; Recommended dilution: WB:1:500-1:5000, IHC:1:20-1:200, IF:1:50-1:200