BackgroundThis gene encodes a mitochondrial chaperone protein that is member of the heat shock protein 90 (HSP90) family. The encoded protein has ATPase activity and interacts with tumor necrosis factor type I. This protein may function in regulating cellular stress responses. Alternate splicing results in multiple transcript variants.
DescriptionTRAP1 Polyclonal Antibody. Unconjugated. Raised in: Rabbit.
FormulationBuffer: PBS with 0.02% sodium azide, 50% glycerol, pH7.3.
SpecificityHuman, Mouse, Rat
IsotypeIgG
Uniprot IDQ12931
PurificationAffinity Purification
ImmunogenRecombinant fusion protein containing a sequence corresponding to amino acids 445-704 of human TRAP1 (NP_057376.2).
StorageShipped at 4°C. Upon receipt, store at -20°C. Avoid freeze / thaw cycles
Alternative NamesTRAP1; HSP 75; HSP75; HSP90L; TRAP-1; TNF receptor associated protein 1
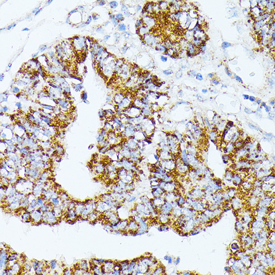
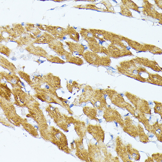
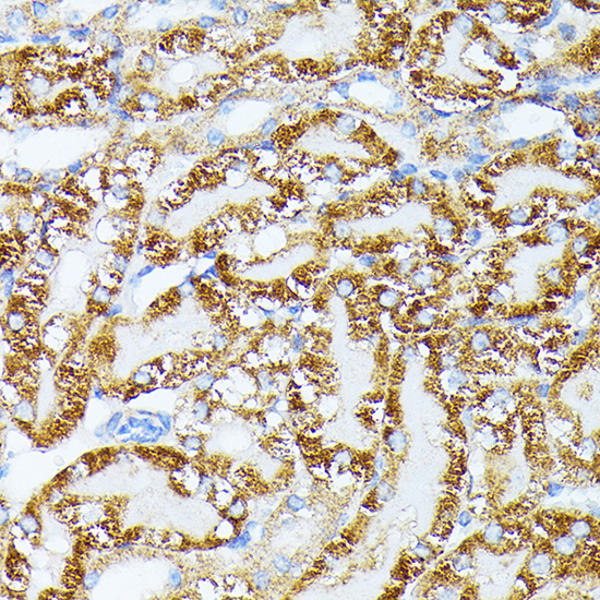
ApplicationWB, IHC, IF; Recommended dilution: WB 1:500 - 1:2000, IHC 1:50 - 1:100, IF 1:50 - 1:100