BackgroundMay function as an inhibitor of Wnt/beta-catenin signaling by indirectly interacting with LRP6 and blocking Wnt3a-dependent LRP6 internalization.
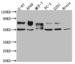
DescriptionTPBG Recombinant Monoclonal Antibody [6E9]. Unconjugated. Raised in: HEK293F Cell.
FormulationBuffer: Rabbit IgG in phosphate buffered saline, pH 7.4, 150mM NaCl, 0.02% sodium azide and 50% glycerol.
SpecificityHuman, Mouse
IsotypeRabbit IgG
Uniprot IDQ13641
PurificationAffinity Chromatography
ImmunogenA synthesized peptide derived from human 5T4
StorageUpon receipt, store at -20°C or -80°C. Avoid repeated freeze.
Alternative NamesTrophoblast glycoprotein (5T4 oncofetal antigen) (5T4 oncofetal trophoblast glycoprotein) (5T4 oncotrophoblast glycoprotein) (M6P1) (Wnt-activated inhibitory factor 1) (WAIF1), TPBG, 5T4
ApplicationELISA, WB, IHC; Recommended dilution: WB:1:500-1:5000, IHC:1:50-1:200