BackgroundMediates the association of the molecular chaperones HSC70 and HSP90 (HSPCA and HSPCB).
DescriptionSTIP1 Polyclonal Antibody. Unconjugated. Raised in: Rabbit.
Formulation0.03% Proclin 300. 50% Glycerol, 0.01M PBS, pH 7.4.
SpecificityHuman, Mouse, Rat
IsotypeIgG
Uniprot IDP31948
PurificationProtein G purified
ImmunogenRecombinant Human Stress-induced-phosphoprotein 1 protein (1-543AA)
StorageShipped at 4°C. Upon delivery aliquot and store at -20°C (short-term) or -80°C (long-term). Avoid repeated freeze.
Alternative NamesHsc70/Hsp90-organizing protein Renal carcinoma antigen NY-REN-11 Transformation-sensitive protein IEF SSP 3521 STIP1
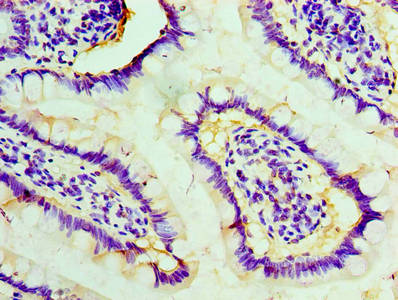
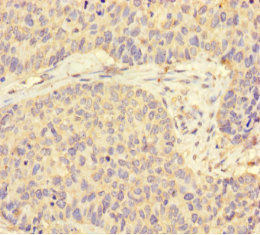
ApplicationELISA, WB, IHC; Recommended dilution: WB:1:500-1:5000, IHC:1:20-1:200