BackgroundSerine palmitoyltransferase (SPT). The heterodimer formed with LCB1/SPTLC1 constitutes the catalytic core. The composition of the serine palmitoyltransferase (SPT) complex determines the substrate preference. The SPTLC1-SPTLC3-SPTSSA isozyme uses both C14-CoA and C16-CoA as substrates, while the SPTLC1-SPTLC3-SPTSSB has the ability to use a broader range of acyl-CoAs without apparent preference.
DescriptionSPTLC3 Polyclonal Antibody. Unconjugated. Raised in: Rabbit.
Formulation0.03% Proclin 300. 50% Glycerol, 0.01M PBS, pH 7.4.
SpecificityHuman, Mouse
IsotypeIgG
Uniprot IDQ9NUV7
PurificationAffinity Purified
ImmunogenRecombinant Human Serine palmitoyltransferase 3 protein (1-58AA)
StorageShipped at 4°C. Upon delivery aliquot and store at -20°C (short-term) or -80°C (long-term). Avoid repeated freeze.
Alternative NamesSerine palmitoyltransferase 3, Long chain base biosynthesis protein 2b, LCB2b, Long chain base biosynthesis protein 3, LCB 3, Serine-palmitoyl-CoA transferase 3, SPT 3, SPTLC3, C20orf38, SPTLC2L
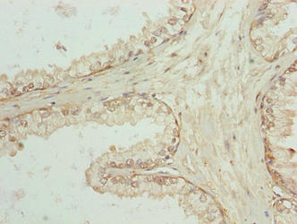
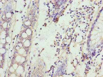
ApplicationELISA, WB, IHC, IF; Recommended dilution: WB:1:500-1:5000, IHC:1:20-1:200, IF:1:50-1:200