BackgroundTranscriptional modulator activated by BMP (bone morphogenetic proteins) type 1 receptor kinase. SMAD1 is a receptor-regulated SMAD (R-SMAD). SMAD1/OAZ1/PSMB4 complex mediates the degradation of the CREBBP/EP300 repressor SNIP1. May act synergistically with SMAD4 and YY1 in bone morphogenetic protein (BMP)-mediated cardiac-specific gene expression.
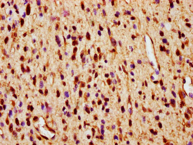
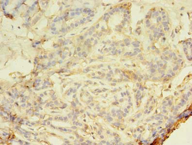
DescriptionSMAD1 Polyclonal Antibody. Unconjugated. Raised in: Rabbit.
Formulation0.03% Proclin 300. 50% Glycerol, 0.01M PBS, pH 7.4.
SpecificityHuman
IsotypeIgG
Uniprot IDQ15797
PurificationProtein G purified
ImmunogenRecombinant Human Mothers against decapentaplegic homolog 1 protein (202-335AA)
StorageShipped at 4°C. Upon delivery aliquot and store at -20°C (short-term) or -80°C (long-term). Avoid repeated freeze.
Alternative NamesMothers against decapentaplegic homolog 1, MAD homolog 1, Mothers against DPP homolog 1, SMAD1, BSP1, MADH1, MADR1, JV4-1, Mad-related protein 1, SMAD family member 1, SMAD 1, Smad1, hSMAD1, Transforming growth factor-beta-signaling protein 1, BSP-1
ApplicationELISA, WB, IHC, IF; Recommended dilution: WB:1:1000-1:5000, IHC:1:100-1:1000, IF:1:200-1:500