BackgroundFunctions as a sodium-dependent amino acid transporter. Mediates the saturable, pH-sensitive and electrogenic cotransport of neutral amino acids and sodium ions with a stoichiometry of 1:1. May function in the transport of amino acids at the blood-brain barrier and in the supply of maternal nutrients to the fetus through the placenta.
DescriptionSLC38A2 Polyclonal Antibody. Unconjugated. Raised in: Rabbit.
Formulation0.03% Proclin 300, 50% Glycerol, 0.01M PBS, PH 7.4.
SpecificityHuman
IsotypeIgG
Uniprot IDQ96QD8
PurificationProtein G purified
ImmunogenRecombinant Human Sodium-coupled neutral amino acid transporter 2 protein (1-76AA)
StorageShipped at 4°C. Upon delivery aliquot and store at -20°C (short-term) or -80°C (long-term). Avoid repeated freeze.
Alternative NamesSodium-coupled neutral amino acid transporter 2, SLC38A2, ATA2, KIAA1382, SAT2, SNAT2, Amino acid transporter A2, Protein 40-9-1, Solute carrier family 38 member 2, System A amino acid transporter 2, System A transporter 1, System N amino acid transporter 2
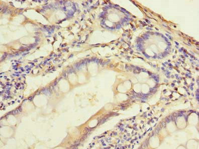
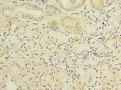
ApplicationELISA, WB, IHC, IF; Recommended dilution: WB:1:500-1:2000, IHC:1:20-1:200, IF:1:50-1:200