BackgroundFacilitative glucose transporter that can also mediate the uptake of various other monosaccharides across the cell membrane. Mediates the uptake of glucose, 2-deoxyglucose, galactose, mannose, xylose and fucose, and probably also dehydroascorbate. Does not mediate fructose transport.
DescriptionSLC2A3 Recombinant Monoclonal Antibody [14B1]. Unconjugated. Raised in: HEK293F Cell.
FormulationBuffer: Rabbit IgG in phosphate buffered saline, pH 7.4, 150mM NaCl, 0.02% sodium azide and 50% glycerol.
SpecificityHuman
IsotypeRabbit IgG
Uniprot IDP11169
PurificationAffinity Chromatography
ImmunogenA synthesized peptide derived from human SLC2A3
StorageUpon receipt, store at -20°C or -80°C. Avoid repeated freeze.
Alternative NamesSolute carrier family 2, facilitated glucose transporter member 3 (Glucose transporter type 3, brain) (GLUT-3), SLC2A3, GLUT3
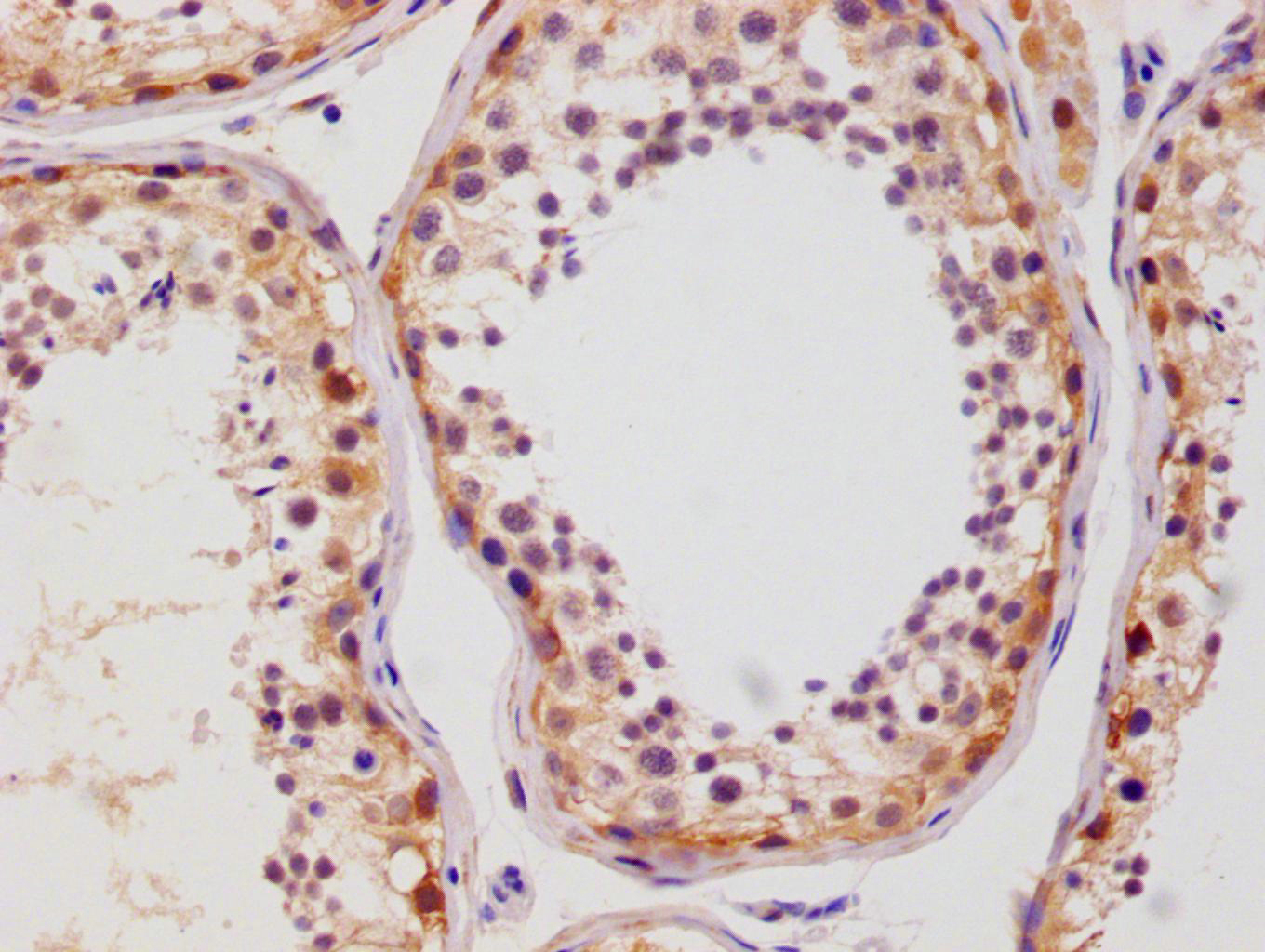
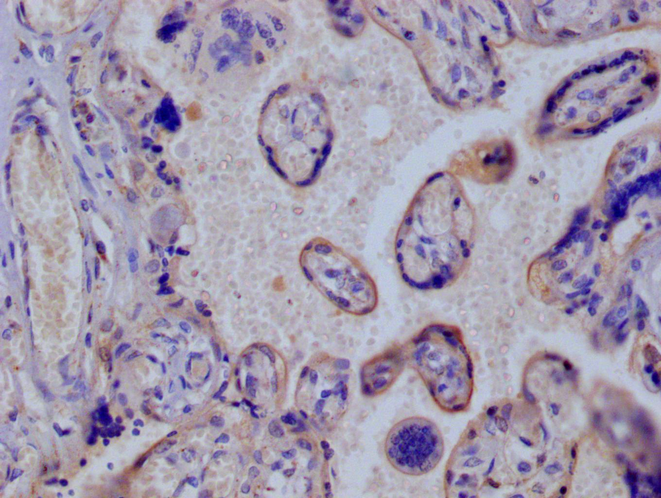
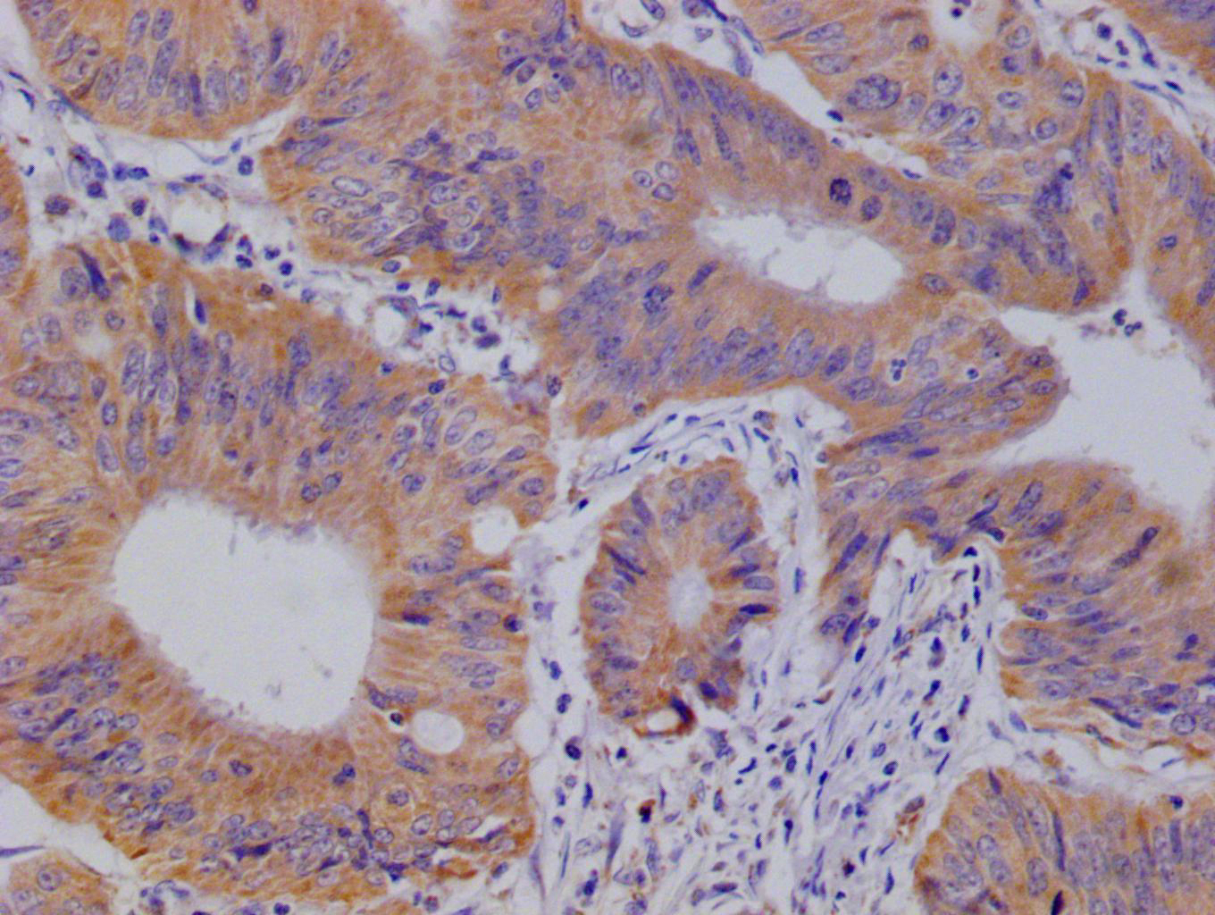
ApplicationELISA, WB, IHC, FC; Recommended dilution: WB:1:500-1:2000, IHC:1:50-1:200, FC:1:50-1:200