BackgroundProton-coupled monocarboxylate transporter. Catalyzes the rapid transport across the plasma membrane of many monocarboxylates such as lactate, pyruvate, branched-chain oxo acids derived from leucine, valine and isoleucine, and the ketone bodies acetoacetate, beta-hydroxybutyrate and acetate. Depending on the tissue and on cicumstances, mediates the import or export of lactic acid and ketone bodies. Required for normal nutrient assimilation, increase of white adipose tissue and body weight gain when on a high-fat diet. Plays a role in cellular responses to a high-fat diet by modulating the cellular levels of lactate and pyruvate, small molecules that contribute to the regulation of central metabolic pathways and insulin secretion, with concomitant effects on plasma insulin levels and blood glucose homeostasis.
DescriptionSLC16A1 Recombinant Monoclonal Antibody [9D12]. Unconjugated. Raised in: HEK293F Cell.
FormulationBuffer: Rabbit IgG in phosphate buffered saline, pH 7.4, 150mM NaCl, 0.02% sodium azide and 50% glycerol.
SpecificityHuman
IsotypeRabbit IgG
Uniprot IDP53985
PurificationAffinity Chromatography
ImmunogenA synthesized peptide derived from human Monocarboxylic acid transporter 1
StorageUpon receipt, store at -20°C or -80°C. Avoid repeated freeze.
Alternative NamesMonocarboxylate transporter 1 (MCT 1) (Solute carrier family 16 member 1), SLC16A1, MCT1
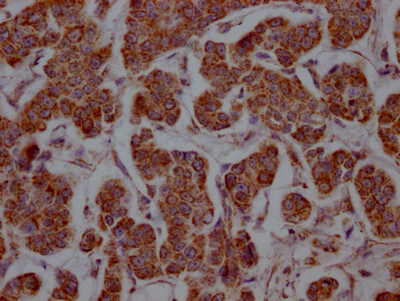
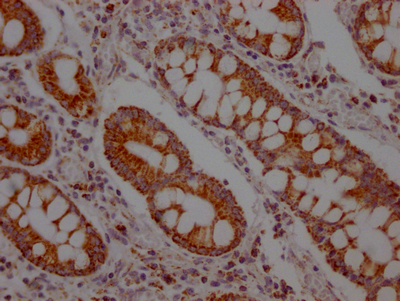
ApplicationELISA, WB, IHC; Recommended dilution: WB:1:500-1:5000, IHC:1:50-1:200