BackgroundAdapter protein, which negatively regulates T-cell receptor (TCR) signaling. Inhibits T-cell antigen-receptor induced activation of nuclear factor of activated T-cells. Involved in the negative regulation of positive selection and mitosis of T-cells. May act by linking signaling proteins such as ZAP70 with CBL, leading to a CBL dependent degradation of signaling proteins.
DescriptionSLA Polyclonal Antibody. Unconjugated. Raised in: Rabbit.
Formulation0.03% Proclin 300, 50% Glycerol, 0.01M PBS, PH 7.4.
SpecificityHuman
IsotypeIgG
Uniprot IDQ13239
PurificationProtein G purified
ImmunogenRecombinant Human Src-like-adapter protein (2-276AA)
StorageShipped at 4°C. Upon delivery aliquot and store at -20°C (short-term) or -80°C (long-term). Avoid repeated freeze.
Alternative NamesSrc-like-adapter, SLA, SLAP, SLAP1, Src-like-adapter protein 1, SLAP-1, hSLAP
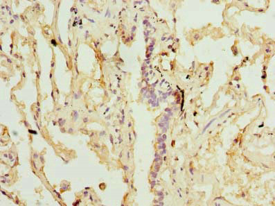
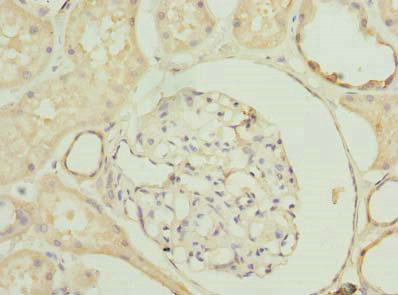
ApplicationELISA, WB, IHC, IF; Recommended dilution: WB:1:500-1:2000, IHC:1:20-1:200, IF:1:50-1:200