BackgroundTranscription factor that binds to the octamer motif (5'-ATTTGCAT-3'). Forms a trimeric complex with SOX2 on DNA and controls the expression of a number of genes involved in embryonic development such as YES1, FGF4, UTF1 and ZFP206. Critical for early embryogenesis and for embryonic stem cell pluripotency.
DescriptionPOU5F1 Polyclonal Antibody. Unconjugated. Raised in: Rabbit.
FormulationLiquid. 0.03% Proclin 300. 50% Glycerol, 0.01M PBS, pH 7.4.
SpecificityHuman
IsotypeIgG
Uniprot IDQ01860
PurificationProtein G purified
ImmunogenRecombinant Human POU domain, class 5, transcription factor 1 protein (1-360AA)
StorageShipped at 4°C. Upon delivery aliquot and store at -20°C (short-term) or -80°C (long-term). Avoid repeated freeze.
Alternative NamesOctamer-binding protein 3, Oct-3, Octamer-binding protein 4, Oct-4, Octamer-binding transcription factor 3, OTF-3, POU5F1, OCT3, OCT4, OTF3
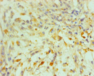
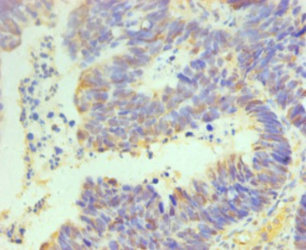
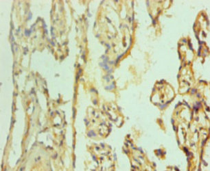
ApplicationELISA, WB, IHC; Recommended dilution: WB:1:500-1:5000, IHC:1:20-1:200