BackgroundPhosphorylation-dependent transcription factor that stimulates transcription upon binding to the DNA cAMP response element (CRE), a sequence present in many viral and cellular promoters. Transcription activation is enhanced by the TORC coactivators which act independently of Ser-133 phosphorylation. Involved in different cellular processes including the synchronization of circadian rhythmicity and the differentiation of adipose cells.
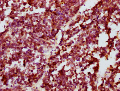
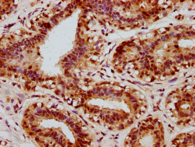
DescriptionPhospho CREB1 (S133) Recombinant Monoclonal Antibody [3C11]. Unconjugated. Raised in: HEK293F Cell.
FormulationBuffer: Rabbit IgG in phosphate buffered saline, pH 7.4, 150mM NaCl, 0.02% sodium azide and 50% glycerol.
SpecificityHuman
IsotypeRabbit IgG
Uniprot IDP16220
PurificationAffinity Chromatography
ImmunogenA synthesized peptide derived from human Phospho-CREB1 (S133)
StorageUpon receipt, store at -20°C or -80°C. Avoid repeated freeze.
Alternative NamesCyclic AMP-responsive element-binding protein 1, CREB-1, cAMP-responsive element-binding protein 1, CREB1
ApplicationELISA, WB, IHC, IF; Recommended dilution: WB:1:500-1:5000, IHC:1:50-1:200, IF:1:20-1:200