BackgroundTranscription factor that may regulate cell proliferation, migration and apoptosis. Involved in neural development and myogenesis.
DescriptionPAX3 Polyclonal Antibody. Unconjugated. Raised in: Rabbit.
Formulation0.03% Proclin 300, 50% Glycerol, 0.01M PBS, PH 7.4
SpecificityHuman
IsotypeIgG
Uniprot IDP23760
PurificationProtein G purified
ImmunogenRecombinant Human Paired box protein Pax-3 protein (90-184AA)
StorageShipped at 4°C. Upon delivery aliquot and store at -20°C (short-term) or -80°C (long-term). Avoid repeated freeze.
Alternative NamesPaired box protein Pax-3, HuP2, PAX3, HUP2
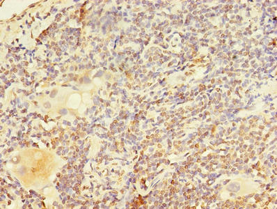
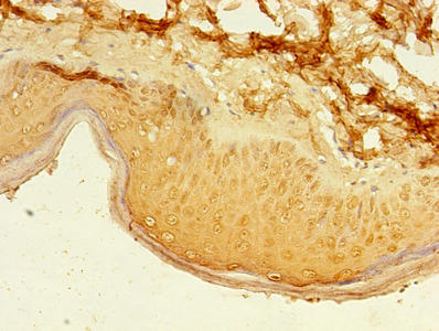
ApplicationELISA, WB, IHC, IF; Recommended dilution: WB:1:500-1:5000, IHC:1:20-1:200, IF:1:50-1:200