BackgroundAdapter protein involved in asymmetrical cell division and cell polarization processes. Seems to play a central role in the formation of epithelial tight junctions. Targets the phosphatase PTEN to cell junctions. Involved in Schwann cell peripheral myelination. Association with PARD6B may prevent the interaction of PARD3 with F11R/JAM1, thereby preventing tight junction assembly. The PARD6-PARD3 complex links GTP-bound Rho small GTPases to atypical protein kinase C proteins. Required for establishment of neuronal polarity and normal axon formation in cultured hippocampal neurons.
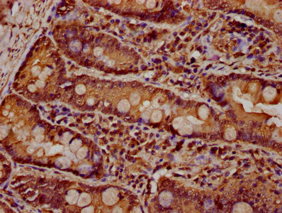
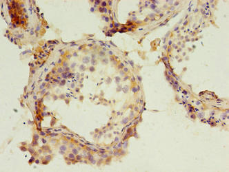
DescriptionPARD3 Polyclonal Antibody. Unconjugated. Raised in: Rabbit.
Formulation0.03% Proclin 300, 50% Glycerol, 0.01M PBS, PH 7.4
SpecificityHuman
IsotypeIgG
Uniprot IDQ8TEW0
PurificationProtein G purified
ImmunogenRecombinant Human Partitioning defective 3 homolog protein (1068-1356AA)
StorageShipped at 4°C. Upon delivery aliquot and store at -20°C (short-term) or -80°C (long-term). Avoid repeated freeze.
Alternative NamesPartitioning defective 3 homolog, PAR-3, PARD-3, Atypical PKC isotype-specific-interacting protein, ASIP, CTCL tumor antigen se2-5, PAR3-alpha, PARD3, PAR3, PAR3A
ApplicationELISA, WB, IHC, IF; Recommended dilution: WB:1:500-1:5000, IHC:1:100-1:1000, IF:1:50-1:500