BackgroundActivator of LATS1/2 in the Hippo signaling pathway which plays a pivotal role in organ size control and tumor suppression by restricting proliferation and promoting apoptosis. The core of this pathway is composed of a kinase cascade wherein STK3/MST2 and STK4/MST1, in complex with its regulatory protein SAV1, phosphorylates and activates LATS1/2 in complex with its regulatory protein MOB1, which in turn phosphorylates and inactivates YAP1 oncoprotein and WWTR1/TAZ. Phosphorylation of YAP1 by LATS1/2 inhibits its translocation into the nucleus to regulate cellular genes important for cell proliferation, cell death, and cell migration. Stimulates the kinase activity of STK38 and STK38L. Acts cooperatively with STK3/MST2 to activate STK38.
DescriptionMOB1A Polyclonal Antibody. Unconjugated. Raised in: Rabbit.
Formulation0.03% Proclin 300. 50% Glycerol, 0.01M PBS, pH 7.4.
SpecificityHuman
IsotypeIgG
Uniprot IDQ9H8S9
PurificationProtein G purified
ImmunogenRecombinant Human MOB kinase activator 1A protein (2-216AA)
StorageShipped at 4°C. Upon delivery aliquot and store at -20°C (short-term) or -80°C (long-term). Avoid repeated freeze.
Alternative NamesMob1 alpha, Mob1 homolog 1B, Mps one binder kinase activator-like 1B, C2orf6, MOB4B, MOBK1B, MOBKL1B, MOB1A
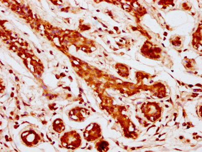
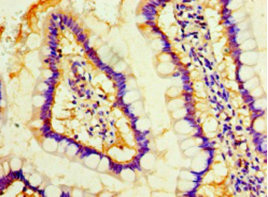
ApplicationELISA, WB, IHC, IF, IP; Recommended dilution: WB:1:2000-1:5000, IHC:1:100-1:1000, IF:1:200-1:500, IP1:200-1:2000