BackgroundThis gene encodes a protein containing multiple ankyrin repeats and RING finger domains that functions as an E3 ubiquitin ligase. The encoded protein positively regulates Notch signaling by ubiquitinating the Notch receptors, thereby facilitating their endocytosis. This protein may also promote the ubiquitination and degradation of death-associated protein kinase 1 (DAPK1).
DescriptionMIB1 Polyclonal Antibody. Unconjugated. Raised in: Rabbit.
FormulationBuffer: PBS with 0.02% sodium azide, 50% glycerol, pH7.3.
SpecificityHuman, Mouse, Rat
IsotypeIgG
Uniprot IDQ86YT6
PurificationAffinity Purification
ImmunogenRecombinant fusion protein containing a sequence corresponding to amino acids 560-860 of human MIB1 (NP_065825.1).
StorageShipped at 4°C. Upon receipt, store at -20°C. Avoid freeze / thaw cycles
Alternative NamesMIB1; DIP-1; DIP1; LVNC7; MIB; ZZANK2; ZZZ6; E3 ubiquitin-protein ligase MIB1
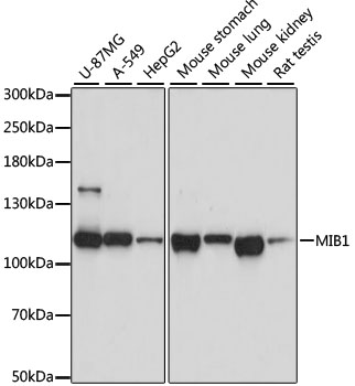
ApplicationWB, IHC; Recommended dilution: WB 1:500 - 1:2000, IHC 1:100 - 1:200