BackgroundThe protein encoded by this gene is a member of the dual specificity protein kinase family, which acts as a mitogen-activated protein (MAP) kinase kinase. MAP kinases, also known as extracellular signal-regulated kinases (ERKs), act as an integration point for multiple biochemical signals. This protein kinase lies upstream of MAP kinases and stimulates the enzymatic activity of MAP kinases upon wide variety of extra- and intracellular signals. As an essential component of MAP kinase signal transduction pathway, this kinase is involved in many cellular processes such as proliferation, differentiation, transcription regulation and development.
DescriptionMAP2K1 Polyclonal Antibody. Unconjugated. Raised in: Rabbit.
FormulationBuffer: PBS with 0.02% sodium azide, 50% glycerol, pH7.3.
SpecificityHuman, Mouse, Rat
IsotypeIgG
Uniprot IDQ02750
PurificationAffinity Purified
ImmunogenA synthetic peptide corresponding to a sequence within amino acids 1-100 of human MAP2K1 (NP_002746.1).
StorageShipped at 4°C. Store at -20°C. Avoid freeze / thaw cycles.
Alternative NamesCFC3; MAPKK1; MEK1; MKK1; PRKMK1; MAP2K1
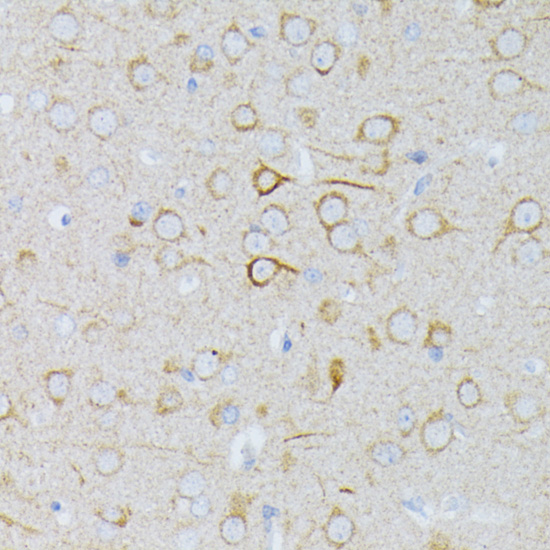
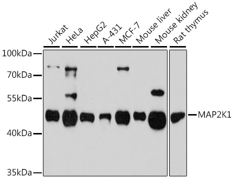
ApplicationWB, IHC; Recommended dilution: WB 1:1000 - 1:3000, IHC 1:50 - 1:200