BackgroundThis gene encodes a membrane-bound member of the mammalian triglyceride lipase family. It catalyzes the production of 2-acyl lysophosphatidic acid (LPA), which is a lipid mediator with diverse biological properties that include platelet aggregation, smooth muscle contraction, and stimulation of cell proliferation and motility.
DescriptionLIPH Polyclonal Antibody. Unconjugated. Raised in: Rabbit.
FormulationBuffer: PBS with 0.02% sodium azide, 50% glycerol, pH7.3.
SpecificityHuman, Mouse, Rat
IsotypeIgG
Uniprot IDQ8WWY8
PurificationAffinity Purification
ImmunogenA synthetic peptide corresponding to a sequence within amino acids 350-450 of human LIPH (NP_640341.1).
StorageShipped at 4°C. Upon receipt, store at -20°C. Avoid freeze / thaw cycles
Alternative NamesLIPH; AH; ARWH2; HYPT7; LAH2; LPDLR; PLA1B; mPA-PLA1; lipase H
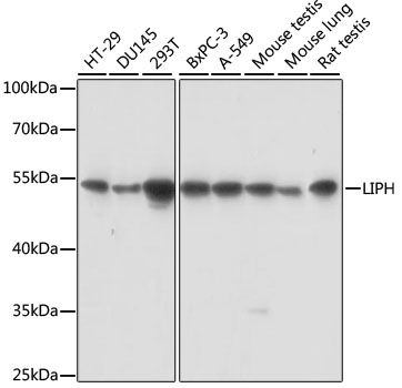
ApplicationWB; Recommended dilution: WB 1:500 - 1:2000