BackgroundMotor protein required for establishing a bipolar spindle during mitosis. Required in non-mitotic cells for transport of secretory proteins from the Golgi complex to the cell surface.
DescriptionKIF11 Recombinant Monoclonal Antibody [1G11]. Unconjugated. Raised in: HEK293F Cell.
FormulationBuffer: Rabbit IgG in phosphate buffered saline, pH 7.4, 150mM NaCl, 0.02% sodium azide and 50% glycerol.
SpecificityHuman
IsotypeRabbit IgG
Uniprot IDP52732
PurificationAffinity Chromatography
ImmunogenA synthesized peptide derived from human Eg5
StorageUpon receipt, store at -20°C or -80°C. Avoid repeated freeze.
Alternative NamesKinesin-like protein KIF11 (Kinesin-like protein 1) (Kinesin-like spindle protein HKSP) (Kinesin-related motor protein Eg5) (Thyroid receptor-interacting protein 5) (TR-interacting protein 5) (TRIP-5), KIF11, EG5 KNSL1 TRIP5
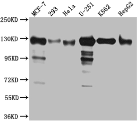
ApplicationELISA, WB; Recommended dilution: WB:1:500-1:5000