BackgroundThis gene encodes a protein with a kinase-like domain and four ankyrin-like repeats. The encoded protein associates at the cell membrane with the cytoplasmic domain of beta integrins, where it regulates integrin-mediated signal transduction. Activity of this protein is important in the epithelial to mesenchymal transition, and over-expression of this gene is implicated in tumor growth and metastasis. Alternative splicing results in multiple transcript variants.
DescriptionILK Polyclonal Antibody. Unconjugated. Raised in: Rabbit.
FormulationBuffer: PBS with 0.02% sodium azide, 50% glycerol, pH7.3.
SpecificityHuman, Mouse, Rat
IsotypeIgG
Uniprot IDQ13418
PurificationAffinity Purification
ImmunogenRecombinant fusion protein containing a sequence corresponding to amino acids 1-260 of human ILK (NP_001014795.1).
StorageShipped at 4°C. Upon receipt, store at -20°C. Avoid freeze / thaw cycles
Alternative NamesILK; HEL-S-28; ILK-1; ILK-2; P59; p59ILK; integrin linked kinase
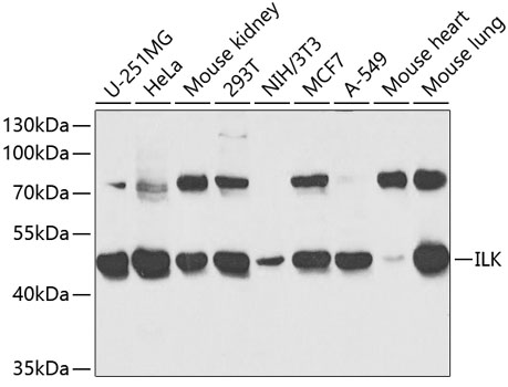
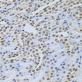
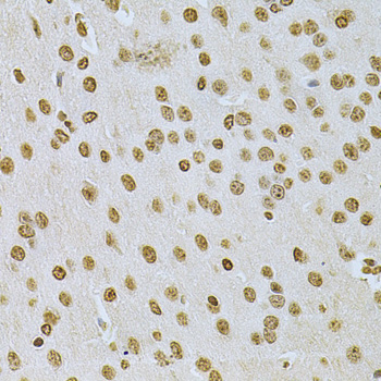
ApplicationWB, IHC; Recommended dilution: WB 1:500 - 1:1000, IHC 1:50 - 1:100