BackgroundThe protein encoded by this gene belongs to the immunoglobulin superfamily, and TIM family of proteins. CD4-positive T helper lymphocytes can be divided into types 1 (Th1) and 2 (Th2) on the basis of their cytokine secretion patterns. Th1 cells are involved in cell-mediated immunity to intracellular pathogens and delayed-type hypersensitivity reactions, whereas, Th2 cells are involved in the control of extracellular helminthic infections and the promotion of atopic and allergic diseases. This protein is a Th1-specific cell surface protein that regulates macrophage activation, and inhibits Th1-mediated auto- and alloimmune responses, and promotes immunological tolerance.
DescriptionHAVCR2 Polyclonal Antibody. Unconjugated. Raised in: Rabbit.
FormulationBuffer: PBS with 0.02% sodium azide, 50% glycerol, pH7.3.
SpecificityHuman, Mouse, Rat
IsotypeIgG
Uniprot IDQ8TDQ0
PurificationAffinity Purification
ImmunogenRecombinant fusion protein containing a sequence corresponding to amino acids 22-202 of human HAVCR2 (NP_116171.3).
StorageShipped at 4°C. Upon receipt, store at -20°C. Avoid freeze / thaw cycles
Alternative NamesHAVCR2; CD366; HAVcr-2; KIM-3; TIM3; TIMD-3; TIMD3; Tim-3; hepatitis A virus cellular receptor 2
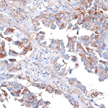
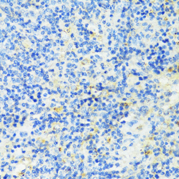
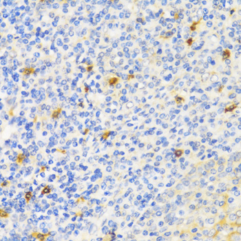
ApplicationWB, IHC; Recommended dilution: WB 1:500 - 1:1000, IHC 1:50 - 1:200