BackgroundThe protein encoded by this gene is a membrane receptor for both human hepatitis A virus (HHAV) and TIMD4. The encoded protein may be involved in the moderation of asthma and allergic diseases. The reference genome represents an allele that retains a MTTVP amino acid segment that confers protection against atopy in HHAV seropositive individuals. Alternative splicing of this gene results in multiple transcript variants. Related pseudogenes have been identified on chromosomes 4, 12 and 19.
DescriptionHAVCR1 Polyclonal Antibody. Unconjugated. Raised in: Rabbit.
FormulationBuffer: PBS with 0.02% sodium azide, 50% glycerol, pH7.3.
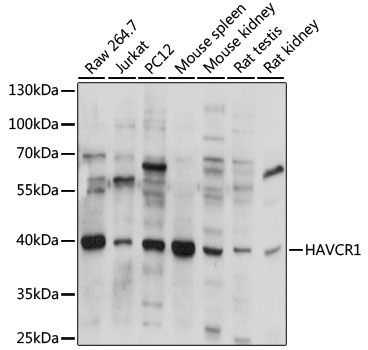
SpecificityHuman, Mouse, Rat
IsotypeIgG
Uniprot IDQ96D42
PurificationAffinity Purification
ImmunogenRecombinant fusion protein containing a sequence corresponding to amino acids 21-125 of human HAVCR1 (NP_036338.2)
StorageShipped at 4°C. Upon receipt, store at -20°C. Avoid freeze / thaw cycles
Alternative NamesHAVCR1; CD365; HAVCR; HAVCR-1; KIM-1; KIM1; TIM; TIM-1; TIM1; TIMD-1; TIMD1; hepatitis A virus cellular receptor 1
ApplicationWB; Recommended dilution: WB 1:500 - 1:2000