BackgroundThis gene encodes a HECT domain and ankyrin repeat-containing ubiquitin ligase. The encoded protein is involved in specific tagging of target proteins, leading to their subcellular localization or proteasomal degradation. The protein is a potential tumor suppressor and is involved in the pathophysiology of several tumors, including Wilm's tumor.
DescriptionHACE1 Polyclonal Antibody. Unconjugated. Raised in: Rabbit.
FormulationBuffer: PBS with 0.02% sodium azide, 50% glycerol, pH7.3.
SpecificityHuman, Mouse, Rat
IsotypeIgG
Uniprot IDQ8IYU2
PurificationAffinity Purification
ImmunogenA synthetic peptide corresponding to a sequence within amino acids 1-100 of human HACE1 (NP_065822.2).
StorageShipped at 4°C. Upon receipt, store at -20°C. Avoid freeze / thaw cycles
Alternative NamesHACE1; SPPRS; E3 ubiquitin-protein ligase HACE1
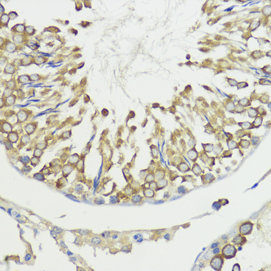
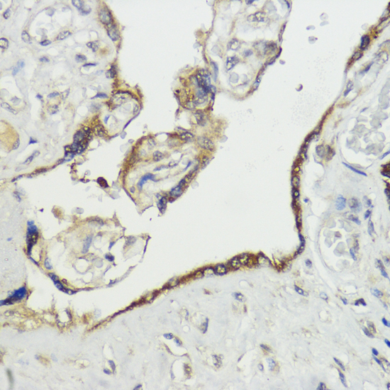
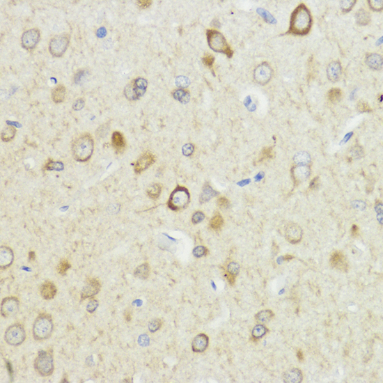
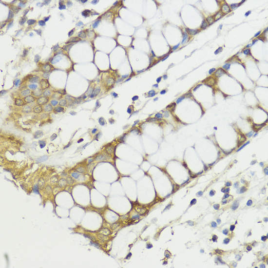
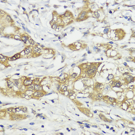
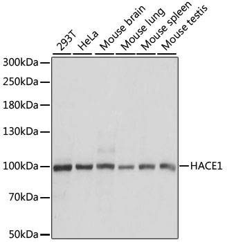
ApplicationWB, IHC; Recommended dilution: WB 1:500 - 1:2000, IHC 1:50 - 1:200