BackgroundThis protein is an anticoagulant protein that acts as an indirect inhibitor of the thromboplastin-specific complex, which is involved in the blood coagulation cascade.
DescriptionGPT Polyclonal Antibody. Unconjugated. Raised in: Rabbit.
Formulation0.03% Proclin 300. 50% Glycerol, 0.01M PBS, pH 7.4.
SpecificityHuman, Mouse, Rat
IsotypeIgG
Uniprot IDP24298
PurificationProtein G purified
ImmunogenRecombinant Human Alanine aminotransferase 1 protein (2-496AA)
StorageShipped at 4°C. Upon delivery aliquot and store at -20°C (short-term) or -80°C (long-term). Avoid repeated freeze.
Alternative NamesGlutamate pyruvate transaminase 1, Glutamic--alanine transaminase 1, Glutamic--pyruvic transaminase 1, AAT1, GPT1, GPT
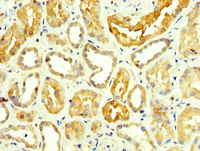
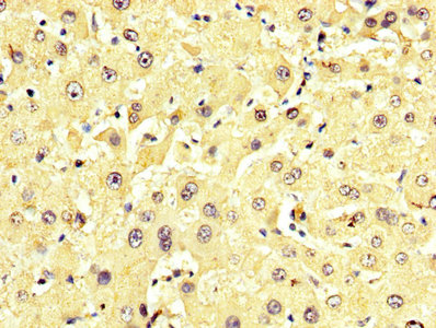
ApplicationELISA, WB, IHC, IF, IP; Recommended dilution: WB:1:500-1:5000, IHC:1:200-1:500, IF:1:50-1:200, IP:1:200-1:2000