BackgroundStores iron in a soluble, non-toxic, readily available form. Important for iron homeostasis. Has ferroxidase activity. Iron is taken up in the ferrous form and deposited as ferric hydroxides after oxidation. Also plays a role in delivery of iron to cells (By similarity). Mediates iron uptake in capsule cells of the developing kidney (By similarity).
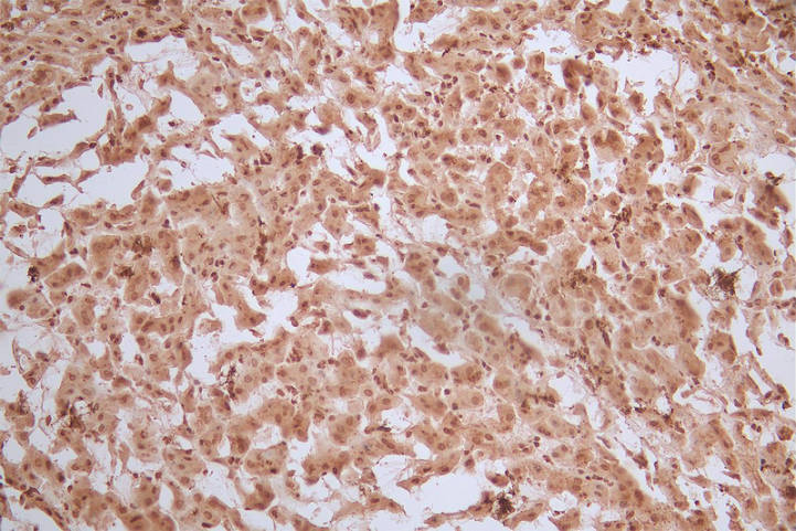
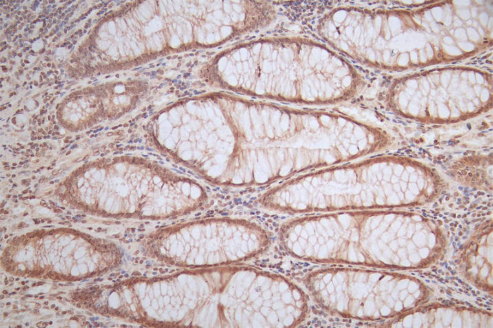
DescriptionFTH1 Recombinant Monoclonal Antibody [18C10]. Unconjugated. Raised in: HEK293F Cell.
FormulationBuffer: 0.03% Proclin 300, 50% Glycerol, 0.01M PBS, PH 7.4.
SpecificityHuman, Mouse
IsotypeMouse IgG
Uniprot IDP02794
PurificationAffinity Chromatography
ImmunogenA synthesized peptide derived from Human FTH1
StorageUpon receipt, store at -20°C or -80°C. Avoid repeated freeze.
Alternative NamesFerritin heavy chain (Ferritin H subunit) (EC 1.16.3.1) (Cell proliferation-inducing gene 15 protein) [Cleaved into: Ferritin heavy chain, N-terminally processed], FTH1, FTH FTHL6
ApplicationELISA, WB, IHC, FC; Recommended dilution: WB:1:500-1:2000, IHC:1:50-1:200, FC:1:50-1:200