BackgroundThis gene encodes a member of the forkhead class of DNA-binding proteins. These hepatocyte nuclear factors are transcriptional activators for liver-specific transcripts such as albumin and transthyretin, and they also interact with chromatin. Similar family members in mice have roles in the regulation of metabolism and in the differentiation of the pancreas and liver.
DescriptionFOXA1 Recombinant Monoclonal Antibody [3B2]. Unconjugated. Raised in: HEK293F Cell.
FormulationBuffer: Rabbit IgG in phosphate buffered saline, pH 7.4, 150mM NaCl, 0.02% sodium azide and 50% glycerol.
SpecificityHuman
IsotypeRabbit IgG
Uniprot IDP55317
PurificationAffinity Chromatography
ImmunogenA synthesized peptide derived from human FOXA1
StorageUpon receipt, store at -20°C or -80°C. Avoid repeated freeze.
Alternative NamesHepatocyte nuclear factor 3-alpha (HNF-3-alpha) (HNF-3A) (Forkhead box protein A1) (Transcription factor 3A) (TCF-3A), FOXA1, HNF3A TCF3A
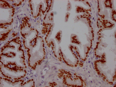
ApplicationELISA, WB, IHC, IP; Recommended dilution: WB:1:500-1:5000, IHC:1:50-1:200, IP:1:200-1:1000