BackgroundAlso acts as a tumor suppressor.
DescriptionFH Polyclonal Antibody. Unconjugated. Raised in: Rabbit.
Formulation0.03% Proclin 300, 50% Glycerol, 0.01M PBS, PH 7.4.
SpecificityHuman, Mouse
IsotypeIgG
Uniprot IDP07954
PurificationProtein G purified
ImmunogenRecombinant Human Fumarate hydratase, mitochondrial protein (45-344AA)
StorageShipped at 4°C. Upon delivery aliquot and store at -20°C (short-term) or -80°C (long-term). Avoid repeated freeze.
Alternative NamesFumarate hydratase, mitochondrial, Fumarase, FH
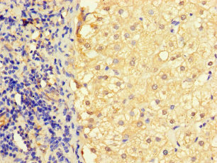
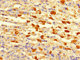
ApplicationELISA, WB, IHC, IF; Recommended dilution: WB:1:500-1:2000, IHC:1:20-1:200, IF:1:50-1:200