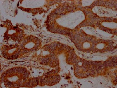
BackgroundReceptor for TNFSF6/FASLG. The adapter molecule FADD recruits caspase-8 to the activated receptor. The resulting death-inducing signaling complex (DISC) performs caspase-8 proteolytic activation which initiates the subsequent cascade of caspases (aspartate-specific cysteine proteases) mediating apoptosis. FAS-mediated apoptosis may have a role in the induction of peripheral tolerance, in the antigen-stimulated suicide of mature T-cells, or both. The secreted isoforms 2 to 6 block apoptosis (in vitro).
DescriptionFAS Recombinant Monoclonal Antibody [2B6]. Unconjugated. Raised in: HEK293F Cell.
FormulationBuffer: Rabbit IgG in phosphate buffered saline, pH 7.4, 150mM NaCl, 0.02% sodium azide and 50% glycerol.
SpecificityHuman
IsotypeRabbit IgG
Uniprot IDP25445
PurificationAffinity Chromatography
ImmunogenA synthesized peptide derived from human Fas
StorageUpon receipt, store at -20°C or -80°C. Avoid repeated freeze.
Alternative NamesTumor necrosis factor receptor superfamily member 6 (Apo-1 antigen) (Apoptosis-mediating surface antigen FAS) (FASLG receptor) (CD antigen CD95), FAS, APT1 FAS1 TNFRSF6
ApplicationELISA, WB, IHC; Recommended dilution: WB:1:500-1:5000, IHC:1:50-1:200