BackgroundENO1 encodes one of three enolase isoenzymes found in mammals; it encodes alpha-enolase, a homodimeric soluble enzyme, and also encodes a shorter monomeric structural lens protein, tau-crystallin. The two proteins are made from the same message. The full length protein, the isoenzyme, is found in the cytoplasm. The shorter protein is produced from an alternative translation start, is localized to the nucleus, and has been found to bind to an element in the c-myc promoter. A pseudogene has been identified that is located on the other arm of the same chromosome.
DescriptionENO1 Polyclonal Antibody. Unconjugated. Raised in: Rabbit.
Formulation0.03% Proclin 300, 50% Glycerol, 0.01M PBS, PH 7.4
SpecificityHuman, Mouse
IsotypeIgG
Uniprot IDP06733
PurificationProtein G purified
ImmunogenRecombinant Human Alpha-enolase protein (2-428AA)
StorageShipped at 4°C. Upon delivery aliquot and store at -20°C (short-term) or -80°C (long-term). Avoid repeated freeze.
Alternative Names2-phospho-D-glycerate hydro-lyase, C-myc promoter-binding protein, Enolase 1, MBP-1, MPB-1, Non-neural enolase, NNE, Phosphopyruvate hydratase, Plasminogen-binding protein, ENO1, ENO1L1, MBPB1, MPB1
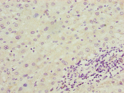
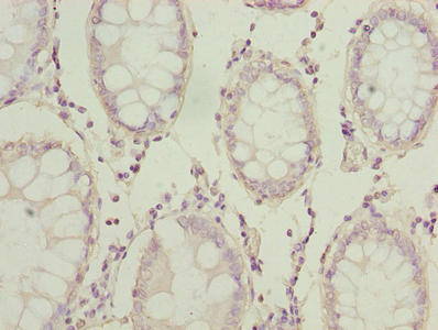
ApplicationELISA, WB, IHC, IF; Recommended dilution: WB:1:500-1:5000, IHC:1:20-1:200, IF:1:50-1:200