BackgroundThis gene encodes a protein that anchors intermediate filaments to desmosomal plaques and forms an obligate component of functional desmosomes. Mutations in this gene are the cause of several cardiomyopathies and keratodermas, including skin fragility-woolly hair syndrome. Alternative splicing results in multiple transcript variants.
DescriptionDSP Polyclonal Antibody. Unconjugated. Raised in: Rabbit.
FormulationBuffer: PBS with 0.02% sodium azide, 50% glycerol, pH7.3.
SpecificityHuman, Mouse, Rat
IsotypeIgG
Uniprot IDP15924
PurificationAffinity Purification
ImmunogenA synthetic peptide corresponding to a sequence within amino acids 1-100 of human Desmoplakin (NP_004406.2).
StorageShipped at 4°C. Upon receipt, store at -20°C. Avoid freeze / thaw cycles
Alternative NamesDSP; DCWHKTA; DP; desmoplakin
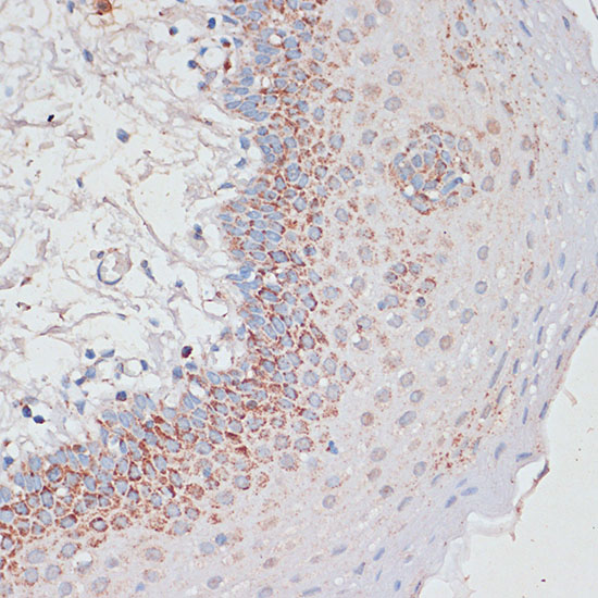
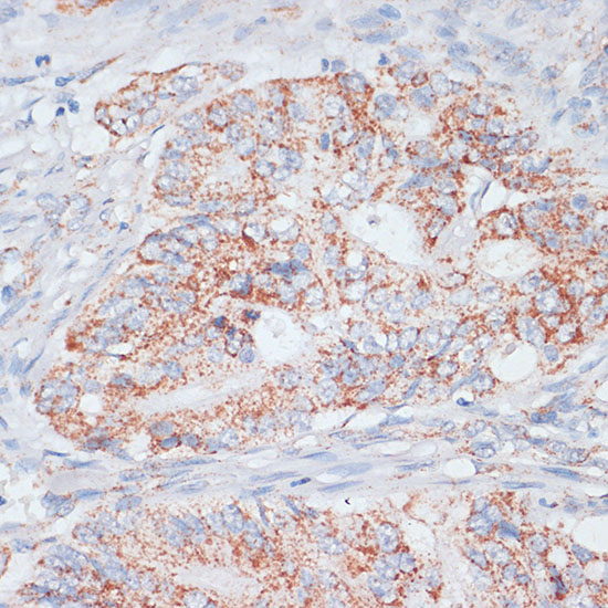
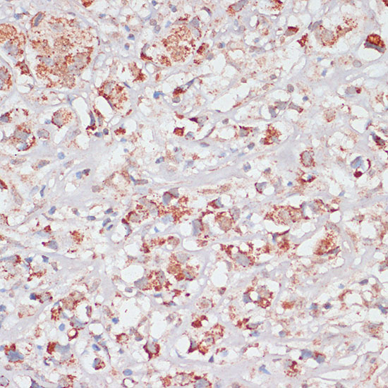
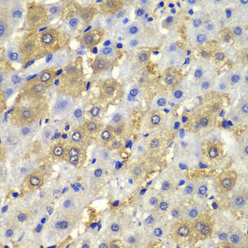
ApplicationWB, IHC; Recommended dilution: WB: 1:500-1:2000, IHC: 1:50-1:200