BackgroundThis gene encodes a protein that is necessary for the repair of ultraviolet light-damaged DNA. This protein is the smaller subunit of a heterodimeric protein complex that participates in nucleotide excision repair, and this complex mediates the ubiquitylation of histones H3 and H4, which facilitates the cellular response to DNA damage. This subunit appears to be required for DNA binding. Mutations in this gene cause xeroderma pigmentosum complementation group E, a recessive disease that is characterized by an increased sensitivity to UV light and a high predisposition for skin cancer development, in some cases accompanied by neurological abnormalities. Two transcript variants encoding different isoforms have been found for this gene.
DescriptionDDB2 Recombinant Monoclonal Antibody [24E5]. Unconjugated. Raised in: HEK293F Cell.
FormulationBuffer: Rabbit IgG in phosphate buffered saline, pH 7.4, 150mM NaCl, 0.02% sodium azide and 50% glycerol.
SpecificityHuman
IsotypeRabbit IgG
Uniprot IDQ92466
PurificationAffinity Chromatography
ImmunogenA synthesized peptide derived from Human DDB2
StorageUpon receipt, store at -20°C or -80°C. Avoid repeated freeze.
Alternative NamesDNA damage-binding protein 2 (DDB p48 subunit) (DDBb) (Damage-specific DNA-binding protein 2) (UV-damaged DNA-binding protein 2) (UV-DDB 2), DDB2
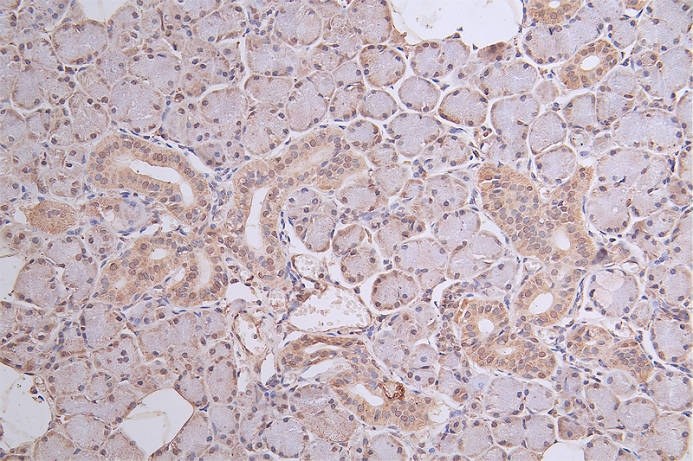
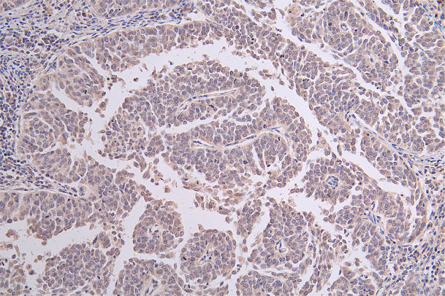
ApplicationELISA, WB, IHC, FC; Recommended dilution: WB:1:500-1:2000, IHC:1:50-1:200, FC:1:50-1:200