BackgroundThis gene encodes a member of a multienzyme complex that functions in mediating the attachment of amino acids to their cognate tRNAs. The encoded protein ligates L-aspartate to tRNA(Asp). Mutations in this gene have been found in patients showing hypomyelination with brainstem and spinal cord involvement and leg spasticity. Alternative splicing results in multiple transcript variants.
DescriptionDARS Polyclonal Antibody. Unconjugated. Raised in: Rabbit.
FormulationBuffer: PBS with 0.02% sodium azide, 50% glycerol, pH7.3.
SpecificityHuman, Mouse, Rat
IsotypeIgG
Uniprot IDP14868
PurificationAffinity Purification
ImmunogenRecombinant fusion protein containing a sequence corresponding to amino acids 222-501 of human DARS (NP_001340.2).
StorageShipped at 4°C. Upon receipt, store at -20°C. Avoid freeze / thaw cycles
Alternative NamesDARS; HBSL; aspRS; aspartyl-tRNA synthetase
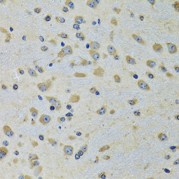
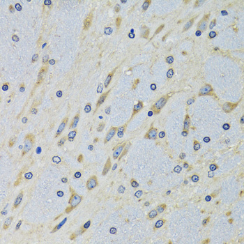
ApplicationWB, IHC, IP; Recommended dilution: WB 1:500 - 1:2000, IHC 1:50 - 1:200, IP 1:50 - 1:200