BackgroundThe protein encoded by this gene is a membrane-bound cytochrome that reduces ferric hemoglobin (methemoglobin) to ferrous hemoglobin, which is required for stearyl-CoA-desaturase activity. Defects in this gene are a cause of type IV hereditary methemoglobinemia. Three transcript variants encoding different isoforms have been found for this gene.
DescriptionCYB5A Polyclonal Antibody. Unconjugated. Raised in: Rabbit.
FormulationBuffer: PBS with 0.02% sodium azide, 50% glycerol, pH7.3.
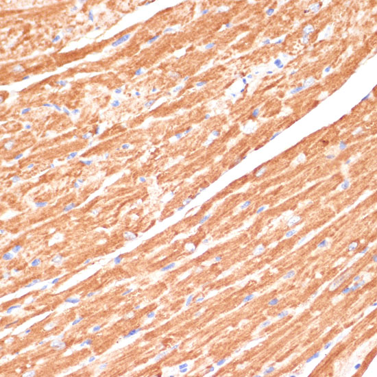
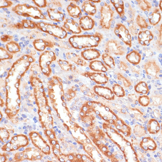
SpecificityHuman, Mouse, Rat
IsotypeIgG
Uniprot IDP00167
PurificationAffinity Purification
ImmunogenRecombinant fusion protein containing a sequence corresponding to amino acids 1-100 of human CYB5A (NP_683725.1).
StorageShipped at 4°C. Upon receipt, store at -20°C. Avoid freeze / thaw cycles
Alternative NamesCYB5A; CYB5; MCB5; cytochrome b5
ApplicationWB, IHC, IF; Recommended dilution: WB: 1:500-1:2000, IHC: 1:50-1:200, IF:1:50-1:200