BackgroundThis is an intracellular thiol proteinase inhibitor. Has an important role in desmosome-mediated cell-cell adhesion in the lower levels of the epidermis.
DescriptionCSTA Polyclonal Antibody. Unconjugated. Raised in: Rabbit.
Formulation0.03% Proclin 300, 50% Glycerol, 0.01M PBS, PH 7.4
SpecificityHuman
IsotypeIgG
Uniprot IDP01040
PurificationProtein G purified
ImmunogenRecombinant Human Cystatin-A protein (2-98AA)
StorageShipped at 4°C. Upon delivery aliquot and store at -20°C (short-term) or -80°C (long-term). Avoid repeated freeze.
Alternative NamesCystatin-AS, Stefin-A, STF1, STFA, CSTA
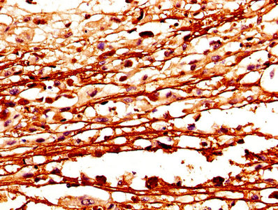
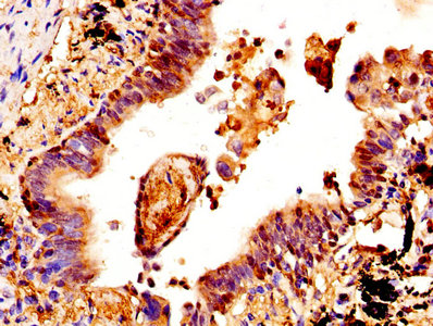
ApplicationELISA, WB, IHC, IF; Recommended dilution: WB:1:500-1:5000, IHC:1:200-1:500, IF:1:50-1:200