BackgroundThe protein encoded by this gene is the sixth enzyme of the heme biosynthetic pathway. The encoded enzyme is soluble and found in the intermembrane space of mitochondria. This enzyme catalyzes the stepwise oxidative decarboxylation of coproporphyrinogen III to protoporphyrinogen IX, a precursor of heme. Defects in this gene are a cause of hereditary coproporphyria (HCP).
DescriptionCPOX Polyclonal Antibody. Unconjugated. Raised in: Rabbit.
FormulationBuffer: PBS with 0.02% sodium azide, 50% glycerol, pH7.3.
SpecificityHuman, Mouse, Rat
IsotypeIgG
Uniprot IDP36551
PurificationAffinity Purification
ImmunogenRecombinant fusion protein containing a sequence corresponding to amino acids 111-454 of human CPOX (NP_000088.3).
StorageShipped at 4°C. Upon receipt, store at -20°C. Avoid freeze / thaw cycles
Alternative NamesCPOX; CPO; CPX; HCP; coproporphyrinogen oxidase
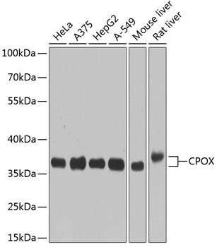
ApplicationWB, IHC; Recommended dilution: WB 1:500 - 1:2000, IHC 1:50 - 1:200