BackgroundThe gene encodes a member of the peptidase M14 family of metallocarboxypeptidases. The encoded preproprotein is proteolytically processed to generate the mature enzyme, which catalyzes the release of large hydrophobic C-terminal amino acids. This enzyme has functions ranging from digestion of food to selective biosynthesis of neuroendocrine peptides. Mutations in this gene may be linked to epilepsy and febrile seizures, and a translocation t(6;8)(q26;q13) involving this gene has been associated with Duane retraction syndrome.
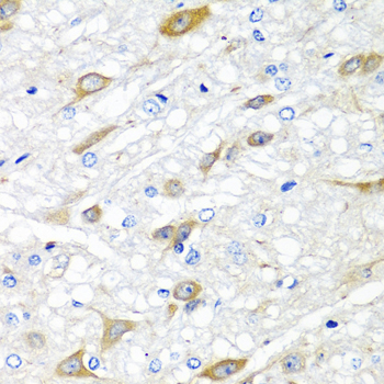
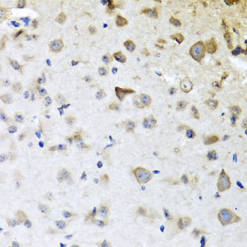
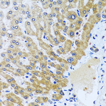
DescriptionCPA6 Polyclonal Antibody. Unconjugated. Raised in: Rabbit.
FormulationBuffer: PBS with 0.02% sodium azide, 50% glycerol, pH7.3.
SpecificityHuman, Mouse, Rat
IsotypeIgG
Uniprot IDQ8N4T0
PurificationAffinity Purification
ImmunogenRecombinant fusion protein containing a sequence corresponding to amino acids 130-437 of human CPA6 (NP_065094.3).
StorageShipped at 4°C. Upon receipt, store at -20°C. Avoid freeze / thaw cycles
Alternative NamesCPA6; CPAH; ETL5; FEB11; carboxypeptidase A6
ApplicationWB, IHC, IF; Recommended dilution: WB 1:500 - 1:2000, IHC 1:50 - 1:200, IF 1:50 - 1:200