BackgroundCytochrome c oxidase (COX), the terminal enzyme of the mitochondrial respiratory chain, catalyzes the electron transfer from reduced cytochrome c to oxygen. It is a heteromeric complex consisting of 3 catalytic subunits encoded by mitochondrial genes and multiple structural subunits encoded by nuclear genes. The mitochondrially-encoded subunits function in the electron transfer and the nuclear-encoded subunits may function in the regulation and assembly of the complex. This nuclear gene encodes polypeptide 1 (liver isoform) of subunit VIa, and polypeptide 1 is found in all non-muscle tissues. Polypeptide 2 (heart/muscle isoform) of subunit VIa is encoded by a different gene, and is present only in striated muscles. These two polypeptides share 66% amino acid sequence identity. It has been reported that there may be several pseudogenes on chromosomes 1, 6, 7q21, 7q31-32 and 12. However, only one pseudogene (COX6A1P) on chromosome 1p31.1 has been documented.
DescriptionCOX6A1 Polyclonal Antibody. Unconjugated. Raised in: Rabbit.
FormulationBuffer: PBS with 0.02% sodium azide, 50% glycerol, pH7.3.
SpecificityHuman, Mouse, Rat
IsotypeIgG
Uniprot IDP12074
PurificationAffinity Purification
ImmunogenRecombinant fusion protein containing a sequence corresponding to amino acids 25-109 of human COX6A1 (NP_004364.2).
StorageShipped at 4°C. Upon receipt, store at -20°C. Avoid freeze / thaw cycles
Alternative NamesCOX6A1; CMTRID; COX6A; COX6AL; cytochrome c oxidase subunit 6A1
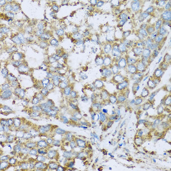
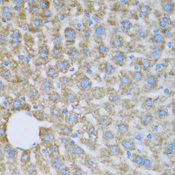
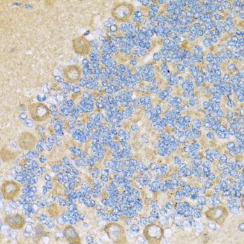
ApplicationWB, IHC, IF; Recommended dilution: WB 1:200 - 1:2000, IHC 1:20 - 1:200, IF 1:50 - 1:200