BackgroundHas a beta-galactosyltransferase activity; transfers beta-galactose to hydroxylysine residues on collagen.
DescriptionCOLGALT2 Polyclonal Antibody. Unconjugated. Raised in: Rabbit.
Formulation0.03% Proclin 300. 50% Glycerol, 0.01M PBS, pH 7.4.
SpecificityHuman, Mouse
IsotypeIgG
Uniprot IDQ8IYK4
PurificationAffinity Purified
ImmunogenRecombinant Human Procollagen galactosyltransferase 2 protein (351-626AA)
StorageShipped at 4°C. Upon delivery aliquot and store at -20°C (short-term) or -80°C (long-term). Avoid repeated freeze.
Alternative NamesProcollagen galactosyltransferase 2 (EC:2.4.1.50), COLGALT2, C1orf17, GLT25D2, KIAA0584, Collagen beta(1-O)galactosyltransferase 2, Glycosyltransferase 25 family member 2, Hydroxylysine galactosyltransferase 2
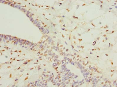
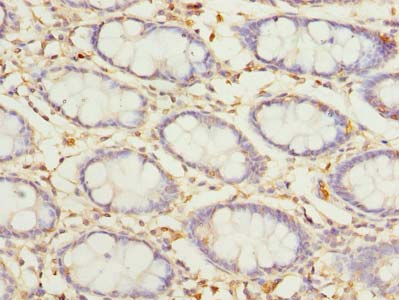
ApplicationELISA, WB, IHC; Recommended dilution: WB:1:500-1:2000, IHC:1:20-1:200