BackgroundThe CHD family of proteins is characterized by the presence of chromo (chromatin organization modifier) domains and SNF2-related helicase/ATPase domains. CHD genes alter gene expression possibly by modification of chromatin structure thus altering access of the transcriptional apparatus to its chromosomal DNA template.
DescriptionCHD1 Polyclonal Antibody. Unconjugated. Raised in: Rabbit.
FormulationBuffer: PBS with 0.02% sodium azide, 50% glycerol, pH7.3.
SpecificityHuman, Mouse, Rat
IsotypeIgG
Uniprot IDO14646
PurificationAffinity Purification
ImmunogenA synthetic peptide corresponding to a sequence within amino acids 1600 to the C-terminus of human CHD1 (NP_001261.2).
StorageShipped at 4°C. Upon receipt, store at -20°C. Avoid freeze / thaw cycles
Alternative NamesCHD1; chromodomain-helicase-DNA-binding protein 1
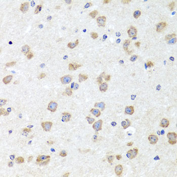
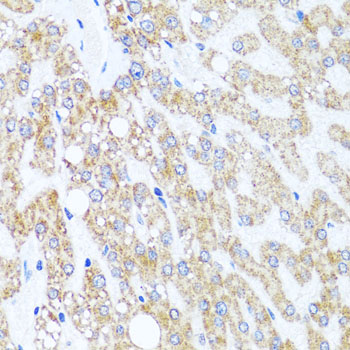
ApplicationWB, IHC; Recommended dilution: WB 1:500 - 1:2000, IHC 1:100 - 1:200