BackgroundImportant regulator of cell cycle progression. Inhibits the kinase activity of CDK2 bound to cyclin A, but has little inhibitory activity on CDK2 bound to SPDYA. Involved in G1 arrest. Potent inhibitor of cyclin E- and cyclin A-CDK2 complexes. Forms a complex with cyclin type D-CDK4 complexes and is involved in the assembly, stability, and modulation of CCND1-CDK4 complex activation. Acts either as an inhibitor or an activator of cyclin type D-CDK4 complexes depending on its phosphorylation state and/or stoichometry.
DescriptionCDKN1B Recombinant Monoclonal Antibody [1G2]. Unconjugated. Raised in: HEK293F Cell.
FormulationBuffer: Rabbit IgG in phosphate buffered saline, pH 7.4, 150mM NaCl, 0.02% sodium azide and 50% glycerol.
SpecificityHuman, Mouse
IsotypeRabbit IgG
Uniprot IDP46527
PurificationAffinity Chromatography
ImmunogenA synthesized peptide derived from human CDKN1B
StorageUpon receipt, store at -20°C or -80°C. Avoid repeated freeze.
Alternative NamesCyclin-dependent kinase inhibitor 1B, Cyclin-dependent kinase inhibitor p27, CDKN1B, KIP1
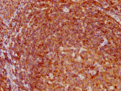
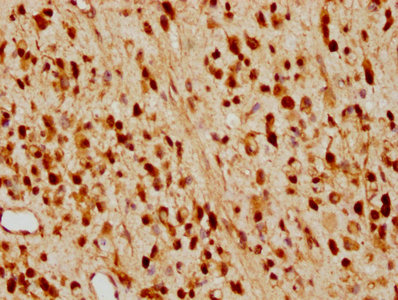
ApplicationELISA, WB, IHC, IF; Recommended dilution: WB:1:500-1:5000, IHC:1:50-1:200, IF:1:20-1:200